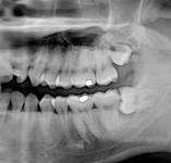
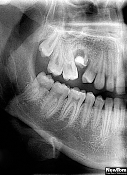
Zuby moudrosti (lidově „osmičky“) se zakládají v čelistech jako poslední zuby kolem 8. roku života a zpravidla prořezávají do dutiny ústní po 17. roce života. Proto velice často není místo pro jejich zařazení do správné polohy a zůstávají částečně nebo úplně skryté v kosti. Mohou být různě skloněné či zdeformované. Dále mohou nepříznivě působit i na sousední zuby či okolní měkké tkáně kolem čelistí jako bolestivý zánět.
Jejich odstranění je někdy jednoduché, někdy obtížnější. Vždy je potřeba je odstranit v období, kdy jsou v klidu bez známek akutního zánětu (otok, bolest, teplota…).
Hojení při složitějších výkonech bývá týden i delší.
Zákrok je možné provést v lokální anestézii, analgosedaci či celkové anestézii.
Pokračovat na Stomatochirurgie