$('#fade').cycle();

































Protetika

Protetika má za úkol nahradit u pacienta poškozenou nebo chybějící část zubu, celý chybějící zub, více či všechny zuby. 
V některých případech jsme nuceni zejména z estetického hlediska nahradit i chybějící měkké tkáně - dáseň.
V našem zařízení nabízíme následující možnosti protetického ošetření:

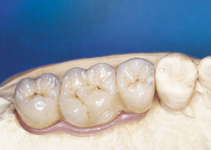
Inlay - je estetická výplň u částečně poškozených zubů, zhotovená
                 v laboratoři (kompozitní/keramická)

Onlay - je estetická výplň nahrazující velkou část poškozeného zubu, zhotovená
                  v laboratoři (kompozitní/keramická)



  

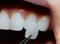
Estetická faseta - veneers - je laboratorně zhotovená faseta z vysoce estetického materiálu IPS e.max Press určená pro přední plochy zubů, především ve viditelných částech chrupu – přední zuby horní a dolní čelisti

     

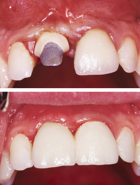
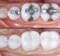
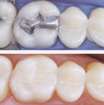
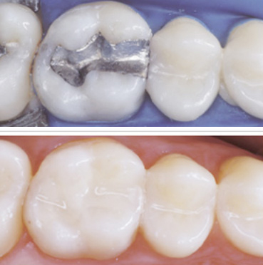
Korunky - nahrazují či doplňují chybějící části přirozené korunky zubu
                     - celoplášťové - kovové - nejjednodušší typ zhotovený z dentálních slitin kovů

                     - celoplášťové - kompozitní - jednoduchý, estetický dokonalý typ korunky vhodný pro viditelné části 
                        chrupu, zhotovené ze speciálního materiálu odolného proti rozlomení - Signum, Enamel Plus HRi 

                    - fasetové - korunky s kovovým pláštěm pokrytým na viditelných částech kompozitní pryskyřicí
                      – Signum, Enamel Plus HRi
                      Vhodné pro postranní i přední úseky chrupu

                    - keramické korunky (kovokeramické) - korunka má kovové jádro plně překryté
                       vrstvou estetické keramiky. Dostatečně estetický i funkční typ korunky
                       Vhodný pro všechny úseky chrupu

                    - keramické korunky (celokeramické – zirkonové) - korunka má buď keramické jádro překryté
                       vrstvou estetické keramiky nebo je vytvořená v jednom kuse z keramiky.
                      Dostatečně estetický i funkční typ korunky
                       Vhodný pro všechny úseky chrupu

     

     

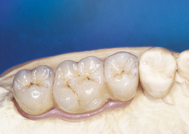
Můstky - jsou pevné náhrady chybějících zubů (jednoho a více), připevněné na zbývající, vhodně rozmístěné zuby 
                     pacienta

                   - fasetové můstky - zhotovené z fasetových korunek (viz fasetové korunky) a fasetových mezičlenů  
                                                       = náhradachybějícího zubu
                   - keramické můstky - zhotovené z keramických korunek (viz keramické korunky) a keramických mezičlenů 
                                                          = náhrada chybějícího zubu
                   - adhezivní můstky - lepené - jsou estetické můstky nahrazující chybějící zub bez broušení okolních zubů, 
                                                         zhotovené z materiálu (kompozitní/keramická).
                                                         Jsou připevněny speciálními materiály nebo pomocí inlay-í či onlay-í. 

     

     

  

Snímací náhrady - nahrazují větší počet ztracených zubů nebo ztrátu všech zubů.

                                  - Částečné - nahrazují větší počet ztracených zubů a jsou připevněny ke zbývajícím zubům pomocí 
                                                         různých retenčních zařízení - kovové spony X zásuvné spoje

  


                               - Celkové - nahrazují ztrátu všech zubů i chybějící měkké tkáně (dásně). Jejich funkčnost je závislá 
                                                   nejen na správném zhotovení, ale závisí na poměrech v ústech každého pacienta 
                                                   (tvar dásňového výběžku, kvalita a množství slin, tloušťka sliznice...)

                                                  

  




Protetika na implantáty

Protetika na implantáty se vyznačuje některými specifickými odlišnostmi, oproti zhotovování náhrad na vlastní zuby, již při zhotovení otisků, modelů, modelaci korunek a můstků i vlastní fixaci (připevnění) náhrad.




Pokračovat na Protetika na implantáty
Pokračovat na Implantologie
Pokračovat na Estetická stomatologie
Pokračovat na Dentální hygiena
Pokračovat na Implantologie