
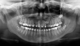
Zásadním faktorem pro úspěšné ošetření je přesná a detailní diagnostika a dokonalé naplánování celého ošetření. K tomu vždy využíváme kombinaci zjištění z klinických vyšetření a rentgenologických dat, které následně zpracováváme v plánovacím softwaru.
Jak pro ošetření stomatochirurgická tak implantologická spolu různými dostavbami kosti je vždy nutné předem znát umístění důležitých anatomických struktur (cévy, nervy, čelistní dutiny). Naše pracoviště jako první v České republice začalo
od roku 2004 používat speciální digitální zubní tomograf 3D DVT NewTom a dále také využíváme nejnovější hybridní CBCT (3D) + 2D přístroj NewTom GiANO, které umožňují 100% diagnostiku množství a kvality kosti a veškerých důležitých anatomických struktur.
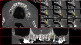
Pro následné plánování využíváme počítačové programy NewTom Implant Planning a coDiagnostiX, které slouží na plánování vhodných pozic pro zavedení implantátů, operačních šablon, kostních bloků, pozdějších protetických náhrad, ...
Plánování v implantologii musí být vždy zaměřeno na optimální výsledek, probíhá tedy obráceně „od konce do začátku“ ošetření – „backwards planning“. Znamená to, že po kompletním vyšetření pacienta, včetně CBCT scanu, zhotovíme pacientovi „model náhrady“ – tzv. Wax up, Set up,
Mock up, tedy jak by mělo definitivní ošetření vypadat. Na základě tohoto modelu pak pomocí plánovacích programů a všech získaných dat naplánujeme počet potřebných implantátů, jejich pozice, délky a průměry.
Computer Aided Surgery - počítačem podporovaná implantace
V našem zařízení používáme při zavádění implantátů tzv. počítačem podporované implantace. V současnosti se jedná o dva postupy
- metody.
• Navigovaná implantace - navigated surgery - dynamická navigace
- operace je "z volné ruky" a postup se vizuálně kontroluje na monitorech.
• Řízená implantace - guided surgery – statická navigace
- operace pomocí OP šablon. Ve speciálním programu coDiagnostiX se využívají data z CB CT scanu - tedy údaje o množství a kvalitě kosti, dále data získaná ze scanu modelu čelistí s modelem plánované protetické náhrady (korunky, můstku…)
- tedy údaje tloušťce sliznice, pozice a tvaru náhrady.
Tím máme všechny potřebné údaje pro plánování pozic implantátů, jejich potřebné délce a průměru. Abychom mohli implantáty zavést do naplánovaných pozic v ústech pacienta, umožňuje tento program vymodelovat speciální operační šablonu, která je zhotovena 3D tiskárnou. Pomocí této šablony, která se umístí do úst pacienta, pak probíhá vlastní operace
- zavádění implantátů.
Obě tyto metody umožňují:
- určit přesnou pozici implantátu
- určit hloubku, průměr a směr - angulaci štoly pro implantáty – bezpečnost implantace!
- slouží pro komunikaci mezi chirurgem a protetikem:
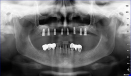
- možnost zhotovení imediátní - provizorní rekonstrukce
- zajištění správné pozice implantátů pro def. ošetření
V některých případech, kdy má pacient dostatek kosti a není potřeba provádět např. její doplnění (viz
Augmentace), je možné zavádět implantáty tzv. metodou
Flapless - tedy bez nutnosti odklápět sliznici. Operace je v těchto případech šetrnější.
Obě metody mají své výhody i omezení. Záleží na konkrétní situaci u pacienta a na rozhodnutí ošetřujícího lékaře, kterou metodu použije.
Mezi další počítačové programy, které máme dispozici, patří počítačový plánovací program
NewTom Implant Planning na plánování vhodných pozic pro zavedení implantátů. Dalším plánovacím softwarem, který umožňuje i zhotovení operačních šablon pro přesné zavádění implantátů - tzv. navigovaná implantologie, je software
coDiagnostiX od firmy Dental Wings (Německo).
Používané přístroje, technologie
NewTom GiANO
Jedná se o nejnovějším přístroj ze skupiny dentálních hybridních CBCT (3D) + 2D (pan i ceph) systémů. Přístroj umožňuje na základě jediného snímkování vytvořit všechny typy RTG zobrazení, které jsou pro lékaře potřebné.
Používaná technologii tzv. „kuželového paprsku“ a speciální senzory pro minimální zátěž při snímkování pacienta
(o více jak 80% nižší dávka proti klasickému CT).
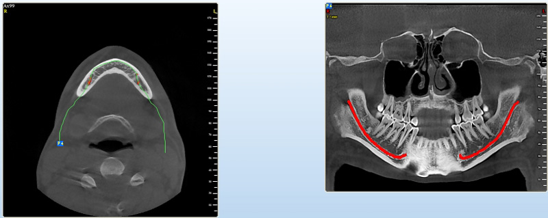
Pomocí tohoto přístroje je možné zjisti skutečnou situaci v čelistních kostech pacienta tedy množství kosti - můžeme změřit skutečnou šířku i výšku kosti, i kvalitu kosti (hustotu) v místě uvažované implantace. 3D (tříprostorové) zobrazení umožňuje
zvýšit prostorovou představu operatéra ještě před vlastní operací a zároveň pacientovi lépe objasnit a ukázat oblast plánovaného zavedení implantátu.
Pacient „neumí číst“ RTG snímky, ale díky 3D zobrazení vidí „svoji skutečnou čelist“ – např. jak je nízká či úzká, vidí průběh nervu nebo velikost čelistní dutiny, což mu umožní i pochopení nutnosti v některých případech provést pomocné zákroky
ještě před vlastním zavedením implantátu (více - Augmentace - kostní štěp, sinus lift, kostní granulát...).
Pomocí počítačových programů – NewTom Implant Planning a coDiagnostiX si lékař sám provádí veškerá potřebná zobrazení a měření.
Vyšetření pomocí tohoto přístroje a získaná data používáme
pro každou implantaci, dále ve stomatochirurgii (zlomeniny čelistí, zuby moudrosti, cysty, onemocnění čelistního kloubu), ortodoncii (retinované zuby, nadpočetné zuby), parodontologii atd.
NewTom Implant Planing
Jedná se o plánovací program, který využívá dat získaných při vyšetření pomocí přístroje New Tom. Tento program umožňuje tříprostorovou počítačovou simulaci při plánování pozic implantátů.
Součástí programu je i databáze, ve které mohou být uloženy všechny typy implantátů od všech výrobců, včetně jejich délek, průměrů i tvarů.
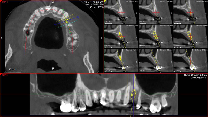
Lékař si vytvoří všechny typy zobrazení potřebných pro naplánování – tedy 2D snímky (panoramatický), příčné řezy i 3D model.
Vidí zde i důležité anatomické útvary – čelistní dutinu, průběh nervu atd. Po proměření množství kosti – šířky i výšky vybere z databáze vhodný typ implantátu a umístí ho do požadované lokality.
Ihned vidí jeho pozici ve všech 3 rovinách a na všech snímcích i 3D modelu. Může upravovat podle potřeby jeho pozici, sklon atd.
Všechny vybrané a správně umístěné simulované implantáty se ukládají do „počítačové karty“ pacienta s jejich pozicí, délkou, průměrem, typem i sklonem.
Lékař i pacient tedy ještě před vlastní operací vidí, jak by mělo ošetření probíhat a vypadat.
coDiagnostiX – Dental Wings
Jedná se o externí plánovací program, spojený se zubní laboratoří a frézovacím centrem, který využívá dat získaných z 3D rentgenu čelisti, otisku zubů a dásně (scanu zubů a dásně) a finálního návrhu protetické náhrady.
Tento program umožňuje tříprostorovou počítačovou simulaci při plánování pozic implantátů. Součástí programu je i databáze, ve které mohou být uloženy všechny typy implantátů od všech výrobců, včetně jejich délek, průměrů i tvarů.
Lékař si vytvoří všechny typy zobrazení potřebných pro naplánování – tedy 2D snímky (panoramatický), příčné řezy i 3D model.
Vidí zde i důležité anatomické útvary – čelistní dutinu, průběh nervu atd. Po proměření množství kosti – šířky i výšky vybere z databáze vhodný typ implantátu a umístí ho do požadované lokality. Ihned vidí jeho pozici ve všech 3 rovinách a na
všech snímcích i 3D modelu. Může upravovat podle potřeby jeho pozici, sklon atd.
Všechny vybrané a správně umístěné simulované implantáty se ukládají do „počítačové karty“ pacienta s jejich pozicí, délkou, průměrem, typem i sklonem. V programu také lékař navrhuje chirurgické šablony pro řízenou nebo navigovanou implantaci.
Lékař i pacient tedy ještě před vlastní operací vidí, jak by mělo ošetření probíhat a vypadat.
Pokračovat na Implantologie
Pokračovat na Augmentace
Pokračovat na Protetika na implantáty
Pokračovat na Estetická stomatologie